Hemarthrosis Embolization GAE Treatment
- No hospital
- No surgery
- No sutures
- No scars
- Outpatient
- Image guided
- Fast recovery
- Targetted therapy
- Low risk
- Successful
- Proven benefit
- Quick
Setup an appointment
What is hemarthrosis?
Hemarthrosis is a medical condition in which there is bleeding into a joint cavity (heme = blood and arthrosis = joint). Hemarthrosis most commonly occurs in the knees, ankles, and elbows. However, it can also occur in other joints such as the wrists, shoulders, and hips.
People with hemarthrosis can experience various symptoms, including pain, tenderness, redness, swelling, warmth, and stiffness of the affected joint. The area surrounding the joint may appear bruised. There may be a decreased range of motion (inability to fully move the joint in all directions).

Why does hemarthrosis occur?
There are various causes of hemarthrosis. These can be broadly categorized into post-operative, traumatic and non-traumatic causes.
Hemarthrosis can be a postoperative complication of arthroscopic surgery, for example, following total knee replacement. Roughly 0.3% of patients who undergo total knee replacement develop recurrent hemarthrosis. The bleeding occurs, on average, around 2 years after the operation. This occurs due to very vascular synovial tissue within the joint that bleeds due to repetitive trauma. Typically, patients require 3-4 joint aspirations (drainage of the blood from the joint). However, some patients do not respond to conservative treatments or have severe bleeding. Such patients require a more definitive treatment such as hemarthrosis embolization.
Other causes of hemarthrosis include hemophilia (a bleeding disorder), osteoarthrosis, medications such as blood thinners, and tumors in the joint.
Why should hemarthrosis be treated?
If a person develops bleeding in the joint after knee replacement surgery and does not get treatment for it, the hemarthrosis can damage the joint. Over time, untreated hemarthrosis can lead to a loss of range of motion in the joint. There may also be a loss of strength in the surrounding muscles. Untreated hemarthrosis can cause pain with joint movement and at rest. With time, it may become difficult to perform daily activities like walking or going up and down stairs. Rarely, without proper treatment, hemarthrosis can cause sepsis (infection) deep inside the joint.
Treatment options for hemarthrosis
Conservative treatment should be tried first with resting and icing the joint, elevating the limb, and taking pain medication for symptom relief. In some patients, this may be all that is needed.
Recurrent hemarthrosis can also be treated by aspiration, surgical removal of the synovial tissue or embolization. Hemarthrosis embolization can be considered as a minimally invasive solution for patients with recurrent hemarthrosis who have failed to respond to conservative treatment and/or repeated joint aspirations. Angiography allows for visualization of the abnormal vessels (geniculate arteries) in the joint and treatment can be performed at the same time. Open surgical removal of the joint tissue (synovium) is also reported to be successful but in the setting of repeat surgery has higher rate of complication and morbidity, such as loss of function and infection.
Our image-guided specialist sees patients throughout the Los Angeles, Orange County and San Diego areas. Contact us today.

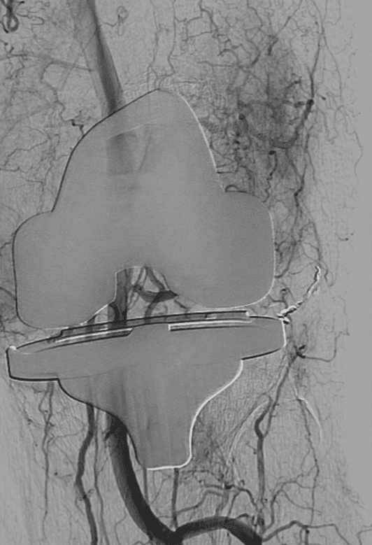
What is hemarthrosis embolization?
Embolization is a procedure in which the blood supply to a specific area is blocked. Hemarthrosishemarthrosis geniculate artery embolization treatment specialist embolization addresses the root cause of the problem, i.e., it blocks the abnormal arteries causing the bleeding into the knee joint.
Oftentimes, the culprits are the geniculate arteries that extend out into the knee joint and cause intermittent bleeding. Embolization of the geniculate arteries is a safe and effective treatment for recurrent spontaneous hemarthrosis after total knee replacement.
When someone has recurrent hemarthrosis after total knee replacement (bleeding continues to occur despite three or more joint aspirations), embolization offers a definitive solution. The exact source of bleeding is confirmed with angiography (imaging) and the bleeding artery is blocked with embolization. Compared with open surgery, embolization can be performed under local anesthesia, lowers the risk of infection, and expedites postoperative recovery.
You should seek the expert advice of your orthopedic surgeon and an interventional radiologist to further understand your options and expected outcomes.
Our outpatient center sees patients throughout Southern California including Los Angeles, Orange County and San Diego. The fibroid treatment is performed by our Endovascular Physician (an Interventional Radiologist) who is board certified in image-guided procedures using X-rays, tiny catheters and other micro-tools, and has performed thousands of complex embolizations.
What is Interventional Radiology? This is the only specialty in medicine specifically trained to perform embolization procedures, such as for hemarthrosis. Read more here.

What to expect
Geniculate artery embolization is an outpatient non-surgical procedure with minimal downtime. The procedure is done in an outpatient state-of-the-art center where our interventional radiologist performs the treatment through a tiny tube called a catheter. This procedure can be performed by placing the catheter in an artery at the top of the leg (called a femoral approach).
The patient is given a local and topical anesthetic to numb the skin and a mild sedative so that the procedure is not painful. A sophisticated X-ray machine that creates moving pictures in “real” time enables the doctor to see the catheter as it is guided through the blood vessels and into the geniculate artery.
The final step in geniculate artery embolization is the injection of tiny particles the size of sand particles through the catheter. The particles lodge in the blood vessels bleeding into the joint and cutting off their blood supply.

Results of hemarthrosis embolization
Studies have shown that 50% of patients require a single embolization procedure for recurrent hemarthrosis following total knee arthroplasty. If needed, the procedure can be safely repeated without adverse effects. The technical success rate of hemarthrosis embolization is 100%. At follow-up after 26.8 months, the clinical success rate is 86%, meaning 8-9 out of 10 patients are symptom-free.
Hemarthrosis embolization is considered a minimally invasive treatment that is safe and effective for spontaneous recurrent hemarthrosis after total knee replacement.
What do you need to do next? Request an appointment to meet with our embolization doctor who will review your imaging, labs and history to determine if you are candidate for the procedure, and the outcomes you can expect.
Appointments are available via an online video telehealth platform or in person at one of the offices in Los Angeles, Orange County or San Diego, depending on the doctor’s availability. Contact Us Today. Why should you choose us? Read here.
References:
- Lombardi M, Cardenas AC. Hemarthrosis. [Updated 2020 Aug 8]. In: StatPearls [Internet]. Treasure Island (FL): StatPearls Publishing; 2020 Jan-. Available from: https://www.ncbi.nlm.nih.gov/books/NBK525999/
- Medical News Today. All you need to know about hemarthrosis by Tom Seymour. Date: December 27, 2017. https://www.medicalnewstoday.com/articles/320443#
- Healthline. Hemarthrosis by Jacquelyn Cafasso, medically reviewed by Graham Rogers, M.D. Updated on June 14, 2017. https://www.healthline.com/health/hemarthrosis
- The Hemophilia, von Willebrand Disease & Platelet Disorders Handbook. Joint Bleeds. https://www.hog.org/handbook/article/3/33/joint-bleeds
- Yoo JH, Oh HC, Park SH, Lee S, Lee Y, Kim SH. Treatment of Recurrent Hemarthrosis after Total Knee Arthroplasty. Knee Surg Relat Res. 2018;30(2):147-152. doi:10.5792/ksrr.17.059. https://www.ncbi.nlm.nih.gov/pmc/articles/PMC5990227
- National Cancer Institute. Arterial embolization. https://www.cancer.gov/publications/dictionaries/cancer-terms/def/arterial-embolization
- Maheshwari R, Kelley SP, Langkamer VG, Loveday E. Spontaneous recurrent haemarthrosis following unicompartmental knee arthroplasty and its successful treatment by coil embolisation. Knee. 2004;11:413-5.
- van Baardewijk LJ, Hoogeveen YL, van der Geest ICM, Schultze Kool LJ. Embolization of the Geniculate Arteries Is an Effective Treatment of Recurrent Hemarthrosis Following Total Knee Arthroplasty That Can Be Safely Repeated. J Arthroplasty. 2018 Apr;33(4):1177-1180.e1. doi: 10.1016/j.arth.2017.11.002. Epub 2017 Nov 24. PMID: 29224993. https://pubmed.ncbi.nlm.nih.gov/29224993
The above information explains what is involved and the possible risks. It is not meant to be a substitute for informed discussion between you and your doctor, but can act as a starting point for such a discussion.











